Mit dem PKW überschlagen
sofortige Stabilisierung beider Oberschenkel mit Fixateur Hoffmann 2.
Stabiler Rahmen in wenigen Minuten anlegt.
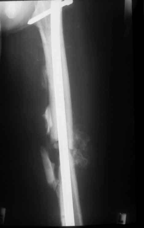
Offene Oberschenkelfraktur
Rö.Bild vor und nach der Stabilisierung mit Hoffmann 2 Fixateur in der "free Pin-.placement" Technik.
Stabilisierung mit V-Nagel nach Besserung des Allgemeinzustandes am 12. postoperativen Tag.
Achsengerecht verheilte Fraktur ein Jahr nach dem Unfall mit gutem Callus als Zeichen dynamischer Frakturheilung.