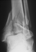
70jähriger Patient mit Pilontrümmerfraktur
seitliche Ansicht
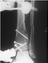
offene Reposition über kleinem Zugang,

Minimalosteosynthese, gelenküberbrückender Hoffmann© II Fixateur.

Korrekte Positionder Pins bei gelenküberbrückender Montage
Montage des Hoffmann© II, die schrägverlaufende Carbonstange bringt die entscheidende Stäbilität bei erhaltener Elastizität