Plazierung der Pins bei distaler Tibiafraktur. Der senkrechte Pin muß lateral des Sehnengleitlagers eingebracht werden.
Die Carbonstangen müssen so hautnah wie möglich sein. Nur zwei Carbonstangen sind für die Stabilität nicht ausreichend.
Die dritte Stange muß direkt an die Pins montiert werden. Nur so ist Stabilität und Elastizität des Rahmens gewährleitet.
Messung der Rahmenstabilität, der Inhalt der Meßkurve entspricht der Rahemenelastizität
Die Kurve wird schon bei geringer Belastung flach und geht nicht zum Ausgangspunkt zurück. Dieser Abstand entspricht der Rahmenverbiegung. Der Rahmen ist instabil und zu elastisch.
Die zusätzlich montierte Stange erhöht die Stabilität und verhindert eine Verformung des Rahmens. Ein gute Elastizität verbleibt und fördert durch Microbewegungen die Knochenbruchheilung.
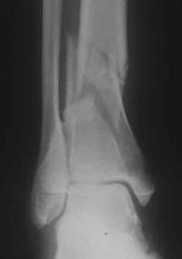
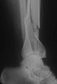
Offene Tibiafraktur Grad III
Zwei Stangen sind nicht ausreichend
Montage der wichtigen dritten Carbonstange
Unfallaufnahme (ap)
Unfallaufnahme (seitlich)
postoperativ (seitlich)
postoperativ (ap)
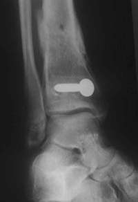
1 Jahr nach der Operation
Der Patient lief schmerzfrei!