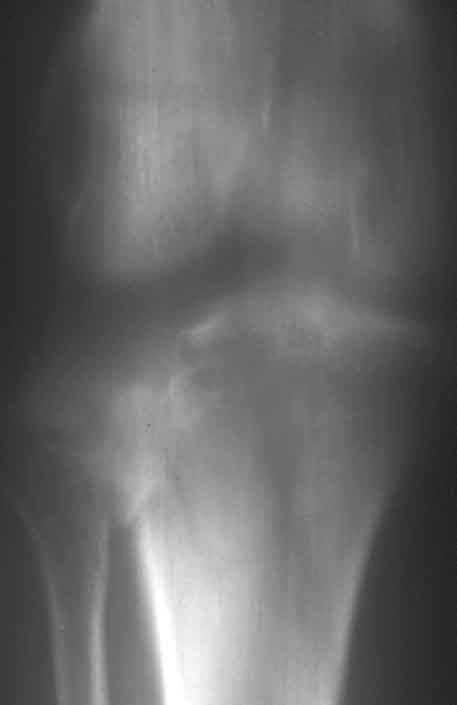
Laterale Impression des Tibiakopfes
Tibiakopffraktur mit tiefer Impression (Schichtaufnahme) Anheben der Fraktur, Unterfütterung mit allogenem Knochen, minimalinvasive Stabilisierung mit Spongiosaschrauben, neutralisieren der Fraktur mit Hoffmann II Fixateur (freie Pinplazierung)
Hoffmann II Montage mit freier Pinplazierung proximal. Wenige Tage nach der Operation besteht freie Beweglichkeit im Kniegelenk Befund 8 Wochen nach der Operation, der Fixateur kann entfernt werden.
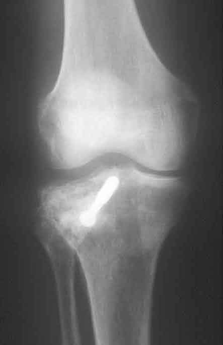
Röntgenbefund nach einem Jahr

Gute Funktion nach einem Jahr. Patientin läuft schmerzfrei.