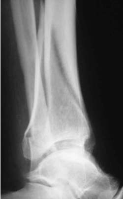
Distale Tibiafraktur mit Weichteilschaden
Die Fraktur reicht bis in das Sprunggelenk
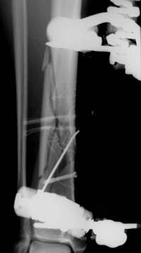
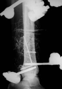
Röntgenkontrolle mit dem Bildwandler im OP
Achsengerechte Stellung der Fraktur
Die Stabilisierung erfolgte minimal invasiv.
2Tage nach der Operation. Schrauben und Drähte wurden weichteilschonend mit Stichincisionen eingebracht.