|
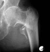
Typische pertrochantäre Femurfraktur
|
Die Fraktur ist schlecht reponiert und der Schenkelhals
verdreht, der Winkel des Nagels ist zu steil
|
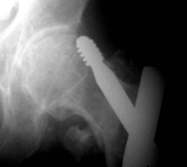
Seitlich wurde der Nagel fehlpositioniert, was
beim Belasten zum Auswandern führte. Mit dem Zielgerät
nach Asche wäre dies nicht passiert.
|
 |