|
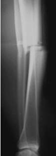
Unterschenkelfraktur mit schwerem Weichteilschaden
nach Quetschung. Zunächst wird die Fraktur mit dem Fixateur
(Monotube) stabilisiert. Erst nach Abschwellen der Weichteile ist
der Verfahrenswechsel zum Verriegelungsnagel möglich. Die primäre
Nagelung ist auch mit einem sogenannten ungebohrten Nagel zu riskant.
Das Infektionsrisiko beim Verfahrenswechsel ist gering, wenn dieser
innerhalb von 2-3 Wochen erfolgt.
Die primäre Nagelung am Unterschenkel sollte
nur bei geschlossenen Frakturen und bei Frakturen ohne schwere Kontusion
erfolgen.
Grundsätzlich müssen dem Patienten die Alternativverfahren
Dynamischer Fixateur und Verriegelungsnagel angeboten werden. Beim
Verfahrenswechsel bevorzugen wir den Titannagel T2, da uns bei diesem
Nagel das Infektionsrisiko geringer erscheint. Die Ausheilungszeit
ist bei beiden Verfahren zwar gleichwertig, aber der T2 Nagel wird
von den Patieten besser akzeptiert.
|