|
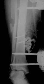
| Die offene Unterschenkelfraktur wird mit dem dynamischen Fixateur
Monotube versorgt. Durch die zusätzliche Fixierung mit Drähten
ist die Faktur nicht dynamisch stabilisiert. Trotz primärer Frakturheilung
und baldiger Belastung ist keine Knochenbildung zu erkennen. |
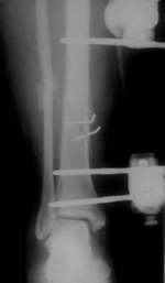
| Trotzdem wurde der Fixateur nach 3 Monaten entfernt. Die Patientin
belastete voll. Einen Monat später kam die Patientin mit einer
sichtbaren Fehlstellung des Unterschenkels wieder. Jetzt war auch
Callus zu sehen. |
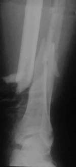
| Die Pseudarthrose war bei der Operation noch so beweglich, daß
sie geschlossen achsengerecht reponiert werden und mit einem unaufgebohrten
V-Nagel stabilisiert werden konnte. Um bei der Belastung die für
die Frakturheilung notwendigen Mikrobewegungen zu bekommen, wurde
das Wadenbein durchtrennt. (Wadenbeinosteotomie) |
|