|
Die
Bennet Fraktur - Entstehung - Repositionsprobleme - Stabilisierungsmöglichkeiten
|
|
|
|
|
|
|
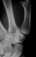
Der Sturz auf den gestreckten Daumen ist meist die
Ursache für diese Problemfraktur. Der Zug der Sehen verursacht
die Dislokation. Die geschlossene Reposition und Gipsfixation kann
die Frakturstellung nicht aufrechterhalten. Die Stabilisierung mit
Kirschnerdrähten, Schrauben oder am einfachsten mit dem Minifixateur
sind die Verfahren der Wahl.
|
|
|
|
|
Geschlossene Reposition und Stabilisierung
mit dem Minifixateur
|
|
|
|
|
|
| Zunächst wird versucht die Fraktur
geschlossen zu reponieren. Gelingt dies, steht die Indikation für
die Anwendung des Minifixateur fest. Zwei Schrauben werden in den
Handwurzelknochen und zwei weitere Schrauben den 1. Mittelhandknochen
eingebracht. Durch den Zug am Daumen läßt sich die Bennetfraktur
stufenfrei reponieren. Danach wird der montierte Minifixateur fixiert.
Die Entfernung des Minifixateur ist nach 4 Wochen möglich. |
|
Offene Reposition und Stabilisierung
mit Schrauben
|
|
|
|
|
| Gelingt die geschlossene Repostion nicht, so muß
offen reponiert werden. Dies Verfahren aber ist besonders schwierig,
da das Fragment nicht ideal darstellbar ist. Auch in der Hand des
Erfahrenen ist nicht immer optimale stufenfreie Stellung erzielbar.
|
|