| Home Beruf Bücher Kontakt Gästebuch Operationen |
|
Stabilisierungsmöglichkeit von
Frakturen an der Basis des 1. Mittelhandknochens
|
|||
![]() |
![]() |
![]() |
|
|
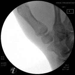
Basisfraktur des 1. Mittelhandknochen
|
Wenn die Frakturstellung nach Reposition und Ligamentotaxis
gut ist, kann die Fraktur mit einem gelenküberbrückenden Microfixateur
stabilisiert werde.
|
Die Frakturkontrolle muß in allen Ebenen kontrolliert
werden.
|
|
![]() |
![]() |
![]() |
|
|
Mit einem Kirschnerdraht wird vorgebohrt und danach
die Schrauben plaziert. Zwei Schrauben in das Trapezium und zwei Schrauben
diestal der Fraktur.
|
Das klinische Bild nach der Operation. Der Fixateur
muß 4 Wochen belassen werden und kann danach ohne nochmalige Narkose
entfernt werden. Das Verfahren ist einfach wenig zeitaufwendig und minimal
invasiv.
|
Die Montage des Rahmens ist mit dem Microfixateur unproblematisch,
da die Fixateurteile sich ebenso leicht plazieren lassen, wie mit dem
Hoffmann II.
Die Komponenten des neuen MICROFIX |
|