Home Beruf Bücher Kontakt Gästebuch Operationen
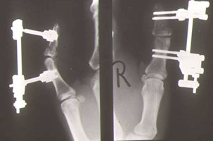
Endgliedtrümmerfraktur des Daumens - Ergebnis nach geschlossener Reposition
 
Trümmerfraktur des Daumenendgliedes. Alleiniger Zug am Finger ohne Eröffnung der Haut ermöglichen die gelenküberbrückende Stabilisierung mit einem Minifixateur.
 
Mittelgliedköpfchenfraktur des kleinen Fingers - Ergebnis nach geschlossener Reposition
Diese schwer zu stabilisierende Köpfchenfraktur läßt sich ohne großen Aufwand mit dem Minifixateur stabilisieren. Die Reposition ist einfach.