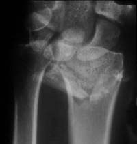
Flexionsfraktur des Radius
Die Aufsicht zeigt die Schwere der Verletzung
Durch den Zug am Bandapparat läßt sich die Fraktur exakt reponieren
Auch in der Aufsicht läßt sich die Fraktur stufenfrei reponieren.
Um das Repositionsergebnis zu halten, wird eín gelenküber- brückender Hoffmann II Fixateur angelegt. Für die Stabilität des Rahmens ist die gezeigte Anbringung der Stäbe erforderlich.
Der minimal invasive Eingriff schont die Weichteile. Die Operation kann in örtlicher Betäubung ambulant durchgeführt werden.

Der Fixateur wird für 6 Wochen belassen. Nach intensiver Krankengymnastik erzielt man in über 90% der Fälle sehr gute bis gute Ergebnisse.

Die nächste Seite zeigt den Operationsablauf Schritt für Schritt.