Die Stabilisierung der Mittelhandfraktur
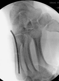
läßt sich leicht mit der retrograden Nagelung verwirklichen. Dabei wird an der Basis des MHK mit dem Pfriem der Markraum eröffnet. Danach weirden ein oder zwei 1.8 mm oder 2 mm starke Kirschnerdrähte eingebracht. Die Drähte werden mit dem stumpfen Ende, das leicht gebogen wird, eingeschoben. Die scharfe Spitze wird abgekniffen und der Draht in ein Jacobsfutter eingespannt. Mit der gebogenen Spitze läßt sich die Fraktur durch Drehen des Drahtes reponieren.

Anterograde Nagelung der Köpfchenfraktur am Mittelhandknochen.
Stabilisierung der MHK Schaftfraktur. Übungsstabilität und freie Funktion der Hand sind postoperativ möglich.

Selbst eine basisnahe Fraktur läßt sich sofort und übungsstabil versorgen. Die Operation wird ambulant in iV-Lokalanästesie durchgeführt.

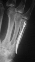
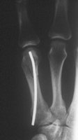
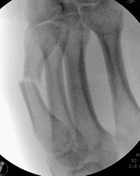
Schaftfraktur des 5. Mittelhandknochen durch schlag. Der Patient hat eine Nickelallergie. Hier wird die Fraktur in i.V. - Anästesie reponiert und mit einem 2mm Titandraht stabilisiert. Diese Versorgung ist stabil genug für eine frühfunktionelle Behandlung. Vorteil ist auch hier, dass es nicht zur Bewegungsbehinderung im Grundgelenk kommt.

zürück zu Operationen