Prof. Dr. David Seligson USA Dr.Gernot Asche Freudenstadt

Zwei der Entwickler des retrograden Nagels SCN
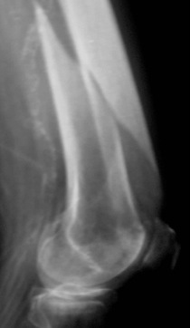
90-jährige Patientin mit distaler Oberschenkel-trümmerfraktur
postoperativer Befund nach geschlossener Nagelung
auch in der Seitaufnahme achsengerechte Stellung der Fraktur
 
Stabilisierung der Fraktur auf der rechten Seite bei der gleichen Patientin
Bereits 8 Tage nach der Operation konnte die Patientin die Knie auf über 90° beugen.